ABC-LEKARNA.cz | Poradna a zkušenosti s léky a léčbou nemocí
 Poradna a zkušenosti s léky a léčbou nemocí 

Vertigo a oči??? - Poradna a zkušenosti

Poradna a zkušenosti s léky a léčbou nemocí, Vertigo, oči???

Vertigo a oči???

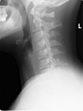
Pro větší náhled klikněte na obrázek
Vertigo a oči??? pierre29 - 9.8.2012 7:25:21
Dobrý den,před měsícem jsem prodělal polohové vertigo při obracení v posteli na levý bok, vertigo trvalo cca 1-2 min. a bylo provázeno pocitem na zvracení a trošku zvracením a rozmazaným viděním, druhý den se mi stalo totéž (bez zvracení) při otočení na levý a po chvíli znovu i na pravý bok. Byla mi provedena různá vyšetření na ORL a neurologii (CT, lumbální punkce, EEG, evokované potenciály VEP a BAEP, polohové testy a nic nemylo nalezeno). Ve výsledcích vyšetření mám nystagmus=0, testy na BPPV negativní). Byl jsem propuštěn s tím, že jde o suspektní polohové vertigo a budu několik týdnů užívat lék Betaserc. Na neurologii mi bylo řečeno, že to je vše a že jsem neurologicky i objektivně zdravý. Závrať se již nevrátila, nicméně od té doby se mi několikrát denně stane, že mám při čtení nebo např. koukání na televizi pocit, že mi trošku škubnou/mírně ujedou oči doleva a při tom mnou projede teplo do žaludku (něco jako leknutí) a někdy mi při tom bouchne silně srdce. Nejsem si jist, zda se tak děje najednou nebo je nejdřív pohyb očí a až potom projetí tepla a bouchnutí. Určitě bych měl také uvést, že jsem před třemi roky měl problémy s úzkostmi a beru lék elicea. Od chvíle, co ho užívám jsem ale žádné problémy nepociťoval a normálně funguji. Vím, že neznáte konkrétní případ, ale zajímal by mne spíše Váš názor: 1) může být příčinou pocitů v očích (a případně i vertiga) páteř? (dle rtg mám plně vyhlazenou krční a bederní lordózu a počínající změny na obratlích c2 a c3 viz přiložený rtg), 2) může být příčinou pocitů v očích psychika a stres? (od chvíle hospitalizace jsem neustále ve strachu, že může jít o nádor na mozku, protože příliš nevěřím, že jsem zdraví, když mám ony pocity v očích). Děkuji předem za Váš čas a případnou odpověď.Petr


Odpověď zdravotníka na dotaz: Vertigo a oči???

Dobrý den pane Petře, mozkový nádor určitě nemáte, protože by byl vidět na CT. Páteř jako příčinu problémů s očima nevidím, protože chybí další symptomy (tlak za očima, únava, a další...). Nadruhou stranu psychika je možnou příčinou, a byla by vhodná kontrola u ošetřujícího specialisty. Pro svůj klid navštivte ještě oftalmologa pro změření nitroočního tlaku a vyšetření skrytého šilhání. Ale myslím, že nález bude v normě.


Odpovědi návštěvníků stránek:

el25 - 23.8.2012 10:59:51
Zdravím, ja som pred nejakým časom mala niečo podobné, 5 dňové vertigo, nemohla som sedieť, chodiť, jednoducho hýbať sa, ešte aj keď som ležala mi bolo hrozne a tak som spala celé dni, nedokázala som dojsť ani ku doktorke, a neskôr na pohotovosť bez toho aby som zvracala. Samozrejme, že dokotori mi absolútne ani nič nepovedali, dali mi infuziu, ktorá mi vôbec nepomohla, každý mi pichol nejaku injekciu, a stále nič. Nakoniec som sa rozhodla, že sa objednám k masérovi, pretože veľa takýchto vecí súvisí aj s chrbticou, tento masér mal naozaj zlaté ruky, na druhý deň som mohla sedieť, mohla som sa najesť, išla som k nemu ešte aj na druhý deň a o pár dní sa mi začalo uľavovať. Nikto mi nič nepovedal, akurát masér, ktorý povedal, že som mala niečo niekde zaseknuté v niektorom stavci, (samozrejme, že to povedal odbornejšie), takže ak tak nemáte náhodou problémy s chrbticou?






Máte zdravotní problémy? Sdělte nám své příznaky - Pomůže vám naše poradna.


Diskuze Diskuze: otázky a odpovědi, zkušenosti a poradenství k Vertigo a oči???

Nový komentář k Vertigo a oči???

Předmět: Dotaz
Datum: 05.01.2023 10:52:41Autor: Blanka
Pierre29 potřebovala bych zjistit, jak jste na tom teď, mám úplně to stejné jako vy před x lety a chtěla bych vědět, jaké jdou vyhlídky, jestli se z toho člověk nějak dostane. Děkuji
Odpovědět

Vaše zkušenost/Komentář/Dotaz týkající se Vertigo a oči???

Položky označené * jsou povinné.
Vaše jméno *:
E-mail :
Předmět *:
Text příspěvku *:
Opište kód *:
(kontrola spamu)
"lekarna"
Chcete-li obdržet odpověď / reakce na Váš příspěvek, nezapomeňte vyplnit položku E-mail. Vaše emailová adresa nebude zobrazena ani jinak použita.

 

NEPOSKYTUJEME ZDRAVOTNÍ PORADENSTVÍ. Naše online poradna je určena pro všechny pacienty, užívající některý z léčivých přípravků, pouze pro obecné informační účely. Poradna v žádném případě neslouží jako náhrada odborné lékařské péče. Poradna pomáhá se správným užíváním léčivých přípravků, odhalit vzájemnou nesnášenlivost léčiv, při snížení výskytu nežádoucích, vedlejších účinků léčiv a jako osvěta a zdroj informací. Pokud si myslíte, že potřebujete lékařkou pomoc, okamžitě zavolejte svého lékaře nebo vytočte číslo 155.




Aktuální diskuze - LÉKY
Nejnovější příspěvky v diskuzi:

Prestance 5mg/5mg - PRESTANCE 5 MG/5 MG 20 Tablety
Vložil: Jiří
2026-02-17 10:38:29

Dobrý den, mohu brát idoplněk stravy DIABEN na stabilizaci krevního cukru, který bohužel obsahuje skořici ? Někde jsem četl, že skořice vadí PRESTANCE. Díky za vysvětlení.Jirka...
Zaldiar 20 neblahe ucinky - ZALDIAR 20 Potahované tablety
Vložil: Markéta
2026-01-08 05:23:22

Měla jsem Zaldiar 20 po něm jsem mela akorát těstoviny s míchaných vajíčky šunkou parmezanem, po tem jsem vlezla do vany okamžitě se mi udělala vyrážka od kolen dolů která neskutečně pálila musela jsem z vany vylest bolesti sem brečela cítila jsem jak mi nohy...
Houbove quarteto - TEREZIA COMPANY Houbové quarteto 100% houbový přípravek 60 kapslí
Vložil: Katka Mašková
2025-11-24 17:28:12

Dobrý den, Ráda bych se zeptala, zda je vhodné brát houbove quarteto s antidepresivy. Děkuji velice ...
Afluditen - AFLUDITEN 25 MG/ML 5X1ML/25MG Injekční roztok
Vložil: Andrea Krulová
2025-11-12 12:05:01

Dobrý den můžu vědět jak přesně vám zničil život ? Protože mojí mamce taky,děkuji moc za odpověď ...
Dávkování - SYNULOX 250 A.U.V. TBL 500
Vložil: Markéta
2025-11-02 16:45:21

Dobrý den, můj pes dostal antibiotika Synulox 250mg. První dávku dostal v 12h další v 24h. Je možné dávkování převést na 6:30h a 18:30h bezpečné jednorázově? Jestezbere večer Medrol. Děkuji za odpověď....

Aktuální diskuze - NEMOCI
Nejnovější příspěvky v diskuzi:

Vypadá to jak na bradavici - Hirsuties papillaris/HPV
Vložil: Vladislav
2026-04-13 17:54:47

Mám to měsíc cca ale když sem řešil po internetu tak mi napsali mazové žlázky nevím kam poslat fotku děkuji ...
Vypadá to jak na bradavici - Hirsuties papillaris/HPV
Vložil: Vladislav
2026-04-13 17:54:25

Mám to měsíc cca ale když sem řešil po internetu tak mi napsali mazové žlázky nevím kam poslat fotku děkuji ...
akné na penisu - Pupínky u ochlupení
Vložil: Luboš
2025-11-29 18:24:24

Akné a folikulitidou trpím dlouhodobě, lékaři odmítají řešit příčinu, to nemá smysl. Ale na penisu se mi dříve pupínky objevily vždy pouze po holení. Nyní jsem se dlouho neoholil a z ničeho nic se mi objevil na údu malý bílý pupínek s lehce červeným oko...
Dostal som od Dr. Sacreho najlepší liek na zväčšenie penisu a problémy s neplodnosťou. - Prodloužení penisu
Vložil: Jones
2025-08-15 14:55:53

Dostal som od Dr. Sacreho najlepší liek na zväčšenie penisu a problémy s neplodnosťou. Pán Jones, som veľmi ohromený výsledkami bylinného lieku Dr. Sacreho! Môj penis je viditeľne väčší a hrubší a moja sebadôvera v spálni prudko vzrástla. Zlepšenie môj...
Červené boláčky - Vyrážka / bradavičky na žaludu
Vložil: Oto12
2025-05-28 01:00:42

Dobrý den,uz delší dobu se mi dělají červené pupínky boláčky nijak nebolí a necítím je. Po pohlavním styku mam žalud načervenaly a pupínky jsou výraznější zenu po pohlavním styku nic ne náplní nesvědi žádné problémy nema dekuji za odpověď ...


ABC-LEKARNA.cz - Online poradna, zkušenosti a recenze pacientů s užíváním léčivých přípravků, jaký lék nejlépe zabírá na Vaše nemoci a vedlejší nežádoucí účinky. Informační web o lécích na předpis, volně prodejných lécích a doplňcích. Pokud si myslíte, že potřebujete lékařkou pomoc, okamžitě kontaktujte svého lékaře nebo vytočte číslo 155. Informace zde zveřejněné jsou pouze obecné a nejesou náhradou odborné lékařské pomoci, diagnózy nebo léčby!
sitemap.txt